
به گزارش مجله خبری گروه تشخیصی فرجاد بافت های سالم در ناحیه ی سینه که به شکل توده احساس می شوند و ممکن است گاهی اوقات نیز دردناک باشند، تغییرات فیبروکیستیک سینه نامیده می شوند. این نکته حائز اهمیت است که فیبروکیستیک سینه یا همان تغییرات فیبروکیستیک، در واقع یک بیماری نیست و سلامت شخص را تهدید نمی کند! شایان ذکر است که این بیماری بسیار رایج بوده و برخی از متخصصان تخمین میزنند که در ایالات متحده ی آمریکا، حدود 50 درصد خانم های بین 20 تا 50 سال، در مقاطعی تغییرات فیبروکیستیک سینه را تجربه می کنند.
متخصصان هنوز به طور کامل علت فیبروکیستیک سینه را تشخیص نداده اند، اما شواهد حاکی از آن است که رابطه ای قوی میان هورمون ها و تغییرات در ناحیه ی سینه وجود دارد. در واقع بافت ناحیه ی سینه به تغییرات سطح هورمون به خصوص استروژن، واکنش نشان می دهد.
افرادی که دچار تغییرات فیبروکیستیک سینه می شوند، در دوران قاعدگی به نوسانات هورمونی حساس تر می شوند. همچنین آزار دهنده تر شدن علائم، درست در زمان شروع و یا در طول دوران قاعدگی، امری شایع به حساب می آید.
این نکته لازم به ذکر است که تغییرات فیبروکیستیکی ناحیه ی سینه، بیشتر خانم ها را در دوران پیش از یائسگی و بین سنین ۲۰ تا ۵۰ سال، درگیر می کند. با این وجود، خانم هایی که پس از دوران یائسگی، تحت درمان های جایگزین استروژن قرار می گیرند نیز ممکن است دچار این عارضه شوند.
تغییرات فیبروکیستیک معمولا در هر دو سینه رخ می دهند اما توده ها و درد در یک سینه می توانند نسبت به دیگری بدتر باشند. این تغییرات ممکن است تنها محدود به دوران قاعدگی بوده و پس از آن از بین بروند و یا هر ماه علائم آن دچار تغییرات شوند؛ با این وجود، معمولا درد و ناراحتی ناشی از این عارضه در قسمت های زیر (متمایل به گوشه ها) و یا در قسمت های فوقانی سینه ها رخ می دهند.
در صورتی که توده های جدید ظاهر شوند و یا پوست ناحیه ی سینه چروک شود؛ همچنین دیگر علائم ذکر شده ادامه پیدا کرده و درد در این ناحیه نیز شدید تر شود، بهتر است با پزشک خود مشورت کنید.
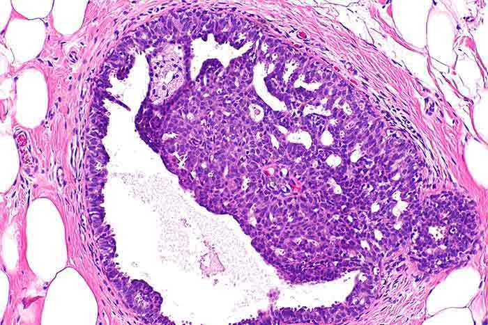
جهت تشخیص فیبروکیستیک سینه، پزشک علائم موجود را بررسی کرده و همچنین معاینه فیزیکی سینه ها را نیز انجام خواهد داد. فیبروکیستیک های سینه حالت، شکل و علائمی متفاوت با سرطان سینه دارند و پزشک با لمس سینه ها تا حد زیادی می تواند تفاوت آن ها را احساس کند. در صورتی که پزشک نیاز به اطلاعات بیشتر جهت تشخیص دقیق تر داشته باشد، بیمار باید ماموگرافی یا سونوگرافی سینه انجام دهد. در انتها برای اطمینان و تشخیص نهایی، ممکن است پزشک درخواست بیوپسی سینه را دهد.
تشخیص تغییرات فیبروکیستیک سینه از توده های جدید امری مشکل است و باید توسط متخصص صورت گیرد. بنابراین، انجام غربالگری های موردنیاز و انجام دستورات و پیشنهادات پزشکان، می تواند تغییرات مخاطره آمیز را در بهترین زمان و در مراحل اولیه تشخیص دهد.

بر اساس تحقیقات انجمن سرطان آمریکا (American Cancer Society)، وجود فیبروکیستیک سینه، احتمال ابتلا به سرطان سینه را افزایش نمی دهد. در حال حاضر، هیچ گونه ارتباطی میان این دو شناخته نشده است.
افرادی که به علت ابتلای به فیبروکیستیک سینه، درد خفیفی را تجربه می کنند، نیاز به درمان خاصی ندارند؛ اما در صورت بروز شرایط دیگر درمان های زیر می توانند به شخص کمک کنند:
کیستهای سینه (Breast cysts) را میتوان به عنوان تاولهای پر از آب در نظر گرفت. این کیستها میتوانند به هر دو اندازه میلیمتر و سانتیمتر برسند. اما خطر کیست در سینه تنها به اندازه آن مربوط نمیشود. ظاهر، ساختار و ویژگیهای آن نیز سرنخهایی در مورد خطرناک بودن یا نبودن آن میدهد. اگر اندازه توده بیش از 2 سانتی متر باشد، به دلیل وجود درد و برای ایجاد فرصت برای تشخیص زودهنگام باید به پزشک مراجعه کرد.
کیستهای سینه که در هر 14 زن و بیشتر در سنین 40 تا 49 سال دیده میشود، ممکن است تا زمانی که با لمس دست متوجه آنها نشوید، هیچ علامتی نشان ندهند. در واقع، از آنجایی که اکثر کیستها به اندازه خاصی نمیرسند، حتی با معاینه دستی نیز متوجه آنها نمیشوید. در حین لمس، متوجه میشوید که کیستها دارای بافت خشن هستند. برخی از کیستها نیز میتوانند باعث درد شوند.
کیستهایی که در نتیجه بزرگ شدن مجاری سینه و پر شدن آنها با مایع ایجاد میشوند در برخی موارد میتوانند باعث ایجاد درد شوند. این نوع کیستها معمولاً مانند یک توده گرد، سفت و دردناک هستند. کیستهای بزرگ و دردناک نیاز به بررسی و پیگیری دارند.
کیستهای سینه به مرور زمان به سرطان تبدیل نمیشوند. از هر 10 کیست تقریباً یک مورد احتمال سرطان دارد. اگر کیست خوشخیم باشد، کاری که باید انجام شود این است که کیست را در دورههای خاصی تحت نظر پزشک پیگیری کنیم.
فیبروکیستها شایعترین تودههای خوش خیم در پستان هستند. این تودههای خوش خیم میتوانند باعث درد و حساسیت به خصوص در دورههای قاعدگی شوند. با افزایش تعداد و اندازه، شکایات درد ممکن است به تدریج افزایش یابد. اگر محتویات فیبروکیست متراکم و ملتهب باشد، ممکن است درد در سینه، زیر بغل و بازو احساس شود.
اگرچه کیستهای سینه معمولاً از نظر تعداد و اندازه ثابت هستند، اما بسته به تغییرات هورمونی، عوامل روانشناختی، رژیم غذایی و سبک زندگی ممکن است تمایل به افزایش، کاهش، رشد یا کوچک شدن داشته باشند. پس از یائسگی، ممکن است کوچک شده و خود به خود ناپدید شود.
توده غدهای است که میتواند در هر قسمت از بدن از جمله سینه ظاهر شود و میتواند از بافتهای مختلفی تشکیل شده باشد. کیستها، تودهها یا کیسههای کوچک حاوی مواد مایع یا نیمه جامد هستند. هر تودهای در سینه کیست نیست. تودههای سینه همچنین میتوانند تومورهای خوش خیم، سرطان، غدد چربی و آبسه باشند.
کیست ساده سینه؛ آنها کیستهایی هستند که ساختار مایع در آنها یکسان است، اطراف آن صاف است، ساختار عروقی وجود ندارد و احتمال تبدیل آنها به سرطان وجود ندارد. کیست پیچیده سینه که از ترکیب چند کیست ایجاد میشود، کیست سینه با محتوای متراکم زمانی که مایع درون کیست بیش از حد متراکم باشد، نامیده میشود. کیست سینه با ساختار داخلی نامنظم دارای خونریزی یا باقی مانده بافت در کیست پستان میباشد.
مرجعترین روش تشخیصی تصویربرداری اولتراسوند است. پس از این روش، مایع کیست با ورود به کیست از طریق انژکتور تحت هدایت سونوگرافی تخلیه میشود. برخی از کیستها ممکن است با این فرآیند ترشح به طور کامل ناپدید شوند. نمونه مایع و بافت گرفته شده به پاتولوژی فرستاده میشود. درمان با توجه به نتیجه تعیین میشود.
برای بسیاری از زنان، بزرگترین نگرانی آنها در مورد کیست این است که سرطان باشد یا تبدیل شود. کیستها سرطان نیستند. احتمال سرطانی شدن آنها بیشتر از هر قسمت دیگری از پستان نیست. هیچ مدرکی مبنی بر اینکه کیست باعث سرطان میشود وجود ندارد.
از اینکه تا پایان مطلب "فیبروکیستیک سینه، سلامت خانمها را تهدید نمی کند!" با ما همراه بودید از شما سپاسگذاریم.
پیشنهاد می شود مطالب ذیل را نیز مطالعه نمائید.